There are many commonly asked questions when we are out visiting your horses, or indeed when you contact us for advice.
The links below cover many key topics; each document can be downloaded or printed. Do get in touch if you have any further questions on these or any other topics.
Our advice is given freely but for some concerns a visit by one of our vets will better serve to assess or advise you on an action required.

Assessing Quality of Life
As owners and vets we have a moral obligation to ensure that our horses, ponies and donkeys have the best quality of life that we can provide for them. This is especially important to consider when our horses are growing older and is often a topic for discussion going into the winter months due to the harsher weather conditions to be faced.
We know that facing this topic can be very difficult and we are always here to support you to make informed decisions with regards the care of your horse.

Gastric Ulcers
What are they?
There are two types of equine gastric ulcers: Equine squamous gastric
disease (ulcers affecting top 1/3 of the stomach) and equine glandular
gastric disease (ulcers affecting lower 2/3 of the stomach).

Behaviour Modification
Do you have a horse that could benefit from behaviour modification? At the George Equine Vets, we do a lot of work using behaviour modification techniques.
We’re seeing great results in the following areas:
- Handling
- Clipping
- Loading
- Administering medication

Sarcoids
What are they?
Sarcoids are the most common skin tumour found in horses. They can be found in horses of any breed, gender and age. They are a form of skin cancer and can only affect the skin and do not spread to internal organs.

Worming
The aim is to reduce the eggs/infective larvae on our pasture and limit
our use of anthelmintics (dewormers) by using a proactive and not
reactive approach. This includes performing faecal worm egg counts
before giving any deworming products.

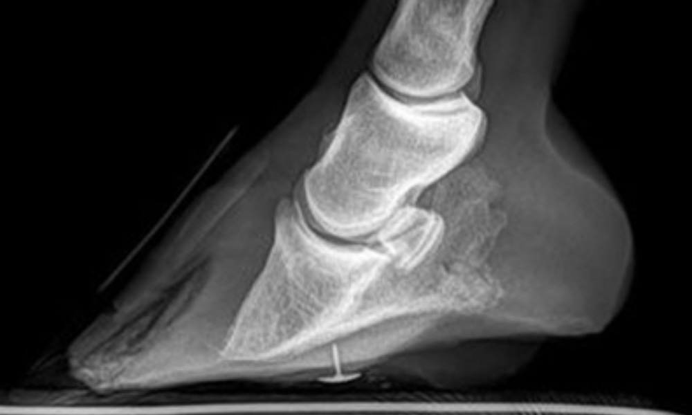
Laminitis
Laminitis is an extremely painful condition affecting a horse/pony’s feet during which inflammation of the laminae (the connective tissue holding the pedal bone to the hoof wall) causes instability of the structures within the hoof.
Laminitis can be considered a risk at any time of year, but is commonly seen in Spring time.

EMS
What is EMS?
Equine metabolic syndrome (EMS) is a recognised disorder of horses and ponies.
It doesn’t relate to one particular problem but rather, a collection of risk factors that are associated with an increased susceptibility to laminitis.
A horse with EMS is quite often referred to as “a good doer” i.e. It seems to gain weight very easily on very little food intake. Those most susceptible seem to be the native breeds, ponies and donkeys in particular. In part, this may be due to an evolutionary trait that enabled them to survive in harsh conditions on poor/sparse pasture.

Colic
The term ‘colic’ means abdominal pain and we mostly presume it’s gut pain. However, other abdominal organs such as the liver, kidney or spleen etc. can be involved.
Colic often occurs after a change in management, such as changing feed or your horse’s turnout pattern. It may also occur when there has been a lot of grass growth.

Equine Asthma
What is equine asthma?
It has previously been known as COPD, IAD, RAO or heaves but has now been reclassified as mild, moderate or severe equine asthma. Characterised by lower airway inflammation, which is non-infectious and caused by environmental allergens.

